PRIVATNA STOMATOLOŠKA ORDINACIJA DR. SVEBOR BIVAL nudi usluge liječenja i pregleda zubi, te ističu endodenciju. Ordinacija se nalazi u Velom Lošinju, te ne zaboravite rezervirati svoj termin za lijep i blještavi osmijeh.

PRIVATNA STOMATOLOŠKA ORDINACIJA DR. SVEBOR BIVAL osnovana je 1993. godine i trenutno broji troje zaposlenih djelatnika.
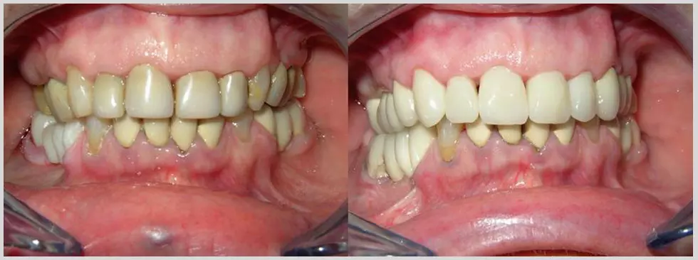
Vrše sve dentalne usluge:
Koriste svo znanje i iskustvo kako bi pružili svojim pacijentima vrhunsku uslugu. Višegodišnje iskustvo i predan rad omogućuje bogato znanje i iskustvo koje koriste za brzo postavljanje dijagnoze i liječenje pacijenata.
Doživite nove dimenzije modernog liječenja, spojite ugodno s korisnim, uštedite Vaš novac i vrijeme, te vratite Vašem licu osmijeh koji mu pripada.
Liječenje i pregledi zubi, usluge endodoncije pruža PRIVATNA STOMATOLOŠKA ORDINACIJA DR.SVEBOR BIVAL.

ORDINACIJA DENTALNE MEDICINE SVEBOR BIVAL, DR.MED.DENT. nudi usluge liječenja i pregleda zuba, te endodoncije. Nalazi se u Velom Lošinju, na adresi Pod javori 27.
Uspješnim poslovanjem stekli su brojne zadovoljne klijente koji hvale i preporučuju njihove usluge liječenja i pregleda zuba, te endodoncije. Pri radu koriste provjerene metode i tehnike kako bi dobili najbolje rezultate u što kraćem vremenskom razdoblju. Svoje usluge ORDINACIJA DENTALNE MEDICINE SVEBOR BIVAL, DR.MED.DENT. nudi po povoljnoj cijeni, prilagođenoj tržištu. Profesionalni i uslužni djelatnici stoje vam na raspolaganju i rado će odgovoriti na sva vaša pitanja vezana za usluge liječenja i pregleda zuba, te endodoncije.
Za bilo kakve dodatne informacije ili upite slobodno se obratite na navedene kontakte.
Ukoliko ste zainteresirani za proizvode i usluge tvrtke, ostavite upit i dobit ćete odgovor u najkraćem mogućem roku. Upit će biti javno vidljiv na portalu.
Lijekovi na recept, lijekovi bez recepta Viškovo
Viškovo 32, 51216 Viškovo
Kardiološki pregledi djece Zaprešić
Baltazara Krčelića 10, 10290 Zaprešić
Optika u Krapinsko-zagorskoj županiji, Varaždinska županija
Prigorska 83 K, 42204 Turčin
Lijekovi i ortopedska pomagala Poreč
M.Gioseffi 2, 52440 Poreč
Ocijeni tvrtku i napiši svoj komentar o suradnji.