PRIVATNA STOMATOLOŠKA ORDINACIJA DR. SVEBOR BIVAL bavi se fiksnom i mobilnom protetikom, te estetskom stomatologijom na Velom Lošinju.

Svo stečeno iskustvo i znanje koriste kako bi pružili što kvalitetnije usluge:
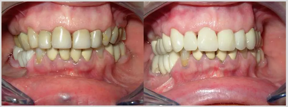
Sve vrste mobilnih i fiksnih protetskih nadomjestaka kao što su krunice, mostovi, ljuskice, djelomične i potpune proteze rade se brzo i kvalitetno u suradnji sa jednim od vodećih dentalnih laboratorija u Hrvatskoj: MEHUN, a za manje intervencije imaju i svoj priručni dentalni laboratorij i zubnog tehničara.
Svoje usluge nude:
Fiksna i mobilna protetika, estetska stomatologija usluge su koje nudi PRIVATNA STOMATOLOŠKA ORDINACIJA DR. SVEBOR BIVAL.

ORDINACIJA DENTALNE MEDICINE SVEBOR BIVAL, DR.MED.DENT. nudi usluge fiksne i mobilne protetike, te estetske stomatologije. Nalazi se u Velom Lošinju, na adresi Pod javori 27.
Uspješnim poslovanjem stekli su brojne zadovoljne klijente koji hvale i preporučuju njihove usluge fiksne i mobilne protetike, te estetske stomatologije. Pri radu koriste provjerene metode i tehnike kako bi dobili najbolje rezultate u što kraćem vremenskom razdoblju. Svoje usluge ORDINACIJA DENTALNE MEDICINE SVEBOR BIVAL, DR.MED.DENT. nudi po povoljnoj cijeni, prilagođenoj tržištu. Profesionalni i uslužni djelatnici stoje vam na raspolaganju i rado će odgovoriti na sva vaša pitanja vezana za usluge fiksne i mobilne protetike, te estetske stomatologije.
Za bilo kakve dodatne upite obratite se na navedene kontakte.
Ukoliko ste zainteresirani za proizvode i usluge tvrtke, ostavite upit i dobit ćete odgovor u najkraćem mogućem roku. Upit će biti javno vidljiv na portalu.
Udruga za osobe s invaliditetom, neuromišićna oboljenja Zagreb
Trnsko 21D, 10000 Zagreb
Sistematski i liječnički pregledi Varaždin
Kolodvorska 20, 42000 Varaždin
Izdavanje lijekova na recept i bez recepta Slavonski Brod
Naselje Lutvinka 2/5, 35000 Slavonski Brod
Sistematski i liječnički pregledi Split
Matice Hrvatske 68, 21000 Split
Privatna ginekološka ordinacija Trešnjevka
Tratinska 27/4, 10000 Zagreb
Ocijeni tvrtku i napiši svoj komentar o suradnji.