Laser i estetsko popunjavanje usta, Rijeka |
ORDINACIJA DENTALNE MEDICINE TAMARA KARLEUŠA STRADIOT DR. MED. DENT. djeluje na području grada Rijeke od 2009. godine.
Primarno se bavi obavljanjem kompletnih stomatoloških usluga, u čemu ima bogato iskustvo.

ORDINACIJA DENTALNE MEDICINE TAMARA KARLEUŠA STRADIOT DR. MED. DENT. posluje već dugi niz godina, sa sjedištem na adresi Trpimirova 2.
Kao primarna djelatnost ističu se kompletne stomatološke usluge:
Ljubazni i stručni djelatnici brinu o zadovoljstvu svakog pacijenta.
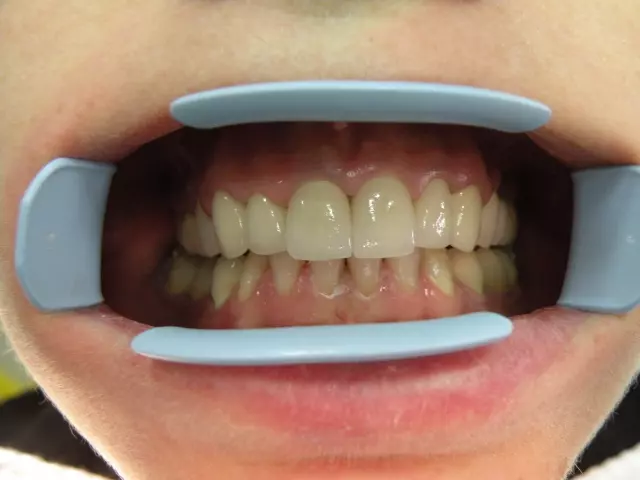
Laser i estetsko popunjavanje usta dio su usluga koje kvalitetno vrši ORDINACIJA DENTALNE MEDICINE TAMARA KARLEUŠA STRADIOT DR. MED. DENT.
Za sve dodatne informacije obratite se na navedene kontakte.
Ukoliko ste zainteresirani za proizvode i usluge tvrtke, ostavite upit i dobit ćete odgovor u najkraćem mogućem roku. Upit će biti javno vidljiv na portalu.
Lijekovi i ortopedska pomagala Poreč
M.Gioseffi 2, 52440 Poreč
Lijekovi na recept, lijekovi bez recepta Viškovo
Viškovo 32, 51216 Viškovo
Optika u Krapinsko-zagorskoj županiji, Varaždinska županija
Prigorska 83 K, 42204 Turčin
Kardiološki pregledi djece Zaprešić
Baltazara Krčelića 10, 10290 Zaprešić
Ocijeni tvrtku i napiši svoj komentar o suradnji.