Izbjeljivanje zubi i dječja stomatologija, Rijeka |
ORDINACIJA DENTALNE MEDICINE TAMARA KARLEUŠA STRADIOT DR. MED. DENT. može se pohvaliti višegodišnjim uspješnim poslovanjem.
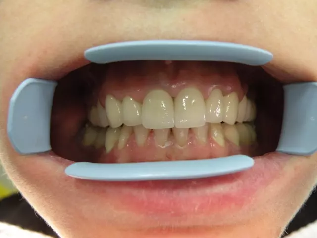
Primarna djelatnost je dentalna medicina i estetska stomatologija, u čemu slijede visoke standarde.

ORDINACIJA DENTALNE MEDICINE TAMARA KARLEUŠA STRADIOT DR. MED. DENT. od 2009. godine djeluje sa sjedištem na području grada Rijeke. Nalazi se na adresi Trpimirova 2.
Kao svoju primarnu djelatnost ističe kompletne stomatološke usluge. Keramičke krunice, besplatni pregledi u ordinaciji, endodoncija i liječenje granuloma, laser i estetsko popunjavanje usta, samo su dio poslova koje profesionalno obavljaju.
Moderno opremljena ordinacija i stručni djelatnici garantiraju vrhunsku uslugu.
Izbjeljivanje zubi i dječja stomatologija samo su dio onoga što Vam je dostupno u ORDINACIJI DENTALNE MEDICINE TAMARA KARLEUŠA STRADIOT, kojoj se s potpunim povjerenjem možete obratiti.
Za sve dodatne informacije obratite se na navedene kontakte.
Ukoliko ste zainteresirani za proizvode i usluge tvrtke, ostavite upit i dobit ćete odgovor u najkraćem mogućem roku. Upit će biti javno vidljiv na portalu.
Lijekovi i ortopedska pomagala Poreč
M.Gioseffi 2, 52440 Poreč
Kardiološki pregledi djece Zaprešić
Baltazara Krčelića 10, 10290 Zaprešić
Optika u Krapinsko-zagorskoj županiji, Varaždinska županija
Prigorska 83 K, 42204 Turčin
Lijekovi na recept, lijekovi bez recepta Viškovo
Viškovo 32, 51216 Viškovo
Ocijeni tvrtku i napiši svoj komentar o suradnji.