Kompletni ultrazvučni pregled, Koprivnica |
PRIVATNA GINEKOLOŠKA ORDINACIJA NEVEN HEĆIMOVIĆ, DR. MED., SPECIJALIST GINEKOLOGIJE I OPSTETRICIJE nudi kompletne ginekološke usluge na području Koprivnice u Koprivničko- križevačkoj županiji.

PRIVATNA GINEKOLOŠKA ORDINACIJA NEVEN HEĆIMOVIĆ, DR. MED., SPECIJALIST GINEKOLOGIJE I OPSTETRICIJE se bavi cjeloživotnom zdravstvenom zaštitom žena, također liječenju i prevenciji ginekoloških oboljenja, praćenju trudnoće i dijagnostikom.
Usluge:
Sve preglede i usluge vrše maksimalno profesionalno te što bezbolnije i ugodnije.
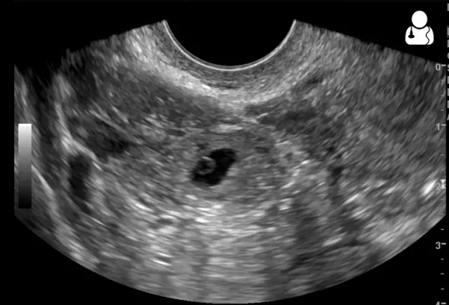
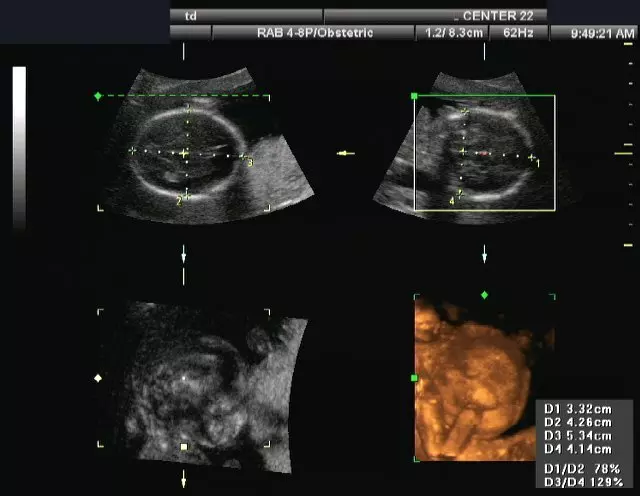
Kompletni ultrazvučni pregled može se obaviti u ordinaciji Hećimović.
Za bilo kakve dodatne informacije ili upite slobodno se obratite na navedene kontakte.
Poštovani, ljubazno Vas molim cijenu kompletnoga ginekološkoga pregleda s ultrazvukom i papa testom. Unaprijed hvala. LP
Ukoliko ste zainteresirani za proizvode i usluge tvrtke, ostavite upit i dobit ćete odgovor u najkraćem mogućem roku. Upit će biti javno vidljiv na portalu.
Veterinar i hitne intervencije, Gospić
Bana Josipa Jelačića 9, 53000 Gospić
Lijekovi na recept i bez recepta medicinska pomagala Kutjevo
Republike Hrvatske 38, 34340 Kutjevo
Smile design Dubrovnik
Primorska 3, 20000 Dubrovnik
Kronične rane Tugare, Splitsko-dalmatinska županija
Vodičko 1, 21252 Tugare
Vađenje krvi i zdravstvena njega u kući Split
Ulica 141. brigade hrvatske vojske 24, 21000 Split
Ocijeni tvrtku i napiši svoj komentar o suradnji.