Respiratorna terapija i dijagnostika Zagreb, Zagrebačka županija, Hrvatska |
POLIKLINIKA ZA BOLESTI DIŠNOG SUSTAVA djeluje već niz godina sa sjedištem u gradu Zagrebu.
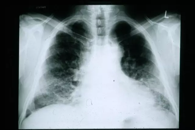
Kao svoju primarnu djelatnost ističe kompletne usluge na području respiratorne dijagnostike.

POLIKLINIKA ZA BOLESTI DIŠNOG SUSTAVA ima 23 zaposlena djelatnika i s radom je počela 1994. godine. Prepoznata je primarno po kvaliteti svojih usluga.
Bavi se specijalističko - konzilijarnom pulmološkom djelatnošću u kojoj slijedi isključivo najviše standarde.
Kroz 15 godina uspjeli smo, zahvaljujući Gradskom uredu za zdravstvo, opremiti ustanovu najkvalitetnijom radiološkom i pulmološkom aparaturom.
Respiratorna terapija i dijagnostika usluge su koje nudi POLIKLINIKA ZA BOLESTI DIŠNOG SUSTAVA kojoj se s povjerenjem možete obratiti.
Za bilo kakve dodatne informacije ili upite slobodno se obratite na navedene kontakte.
Ukoliko ste zainteresirani za proizvode i usluge tvrtke, ostavite upit i dobit ćete odgovor u najkraćem mogućem roku. Upit će biti javno vidljiv na portalu.
Kvalitetan smještaj i skrb za starije i nemoćne osobe Zagreb
Bukovac Gornji 19 d, 10000 Zagreb
Psihijatrija, psihoterapija, forenzična psihijatrija Šibenik
Obala 4. kolovoza 98, 22000 Šibenik
Ortopedska pomagala uz medicinsku kozmetiku Sisak
Stjepana i Antuna Radića 48, 44000 Sisak
Ocijeni tvrtku i napiši svoj komentar o suradnji.