Protetika, popravci i vađenje zubi Valpovo, Osijek |
ORDINACIJA DENTALNE MEDICINE SALAŠKI ĐURDICA, DR. MED. DENT. posluje od 1995. godine i obavlja kompletne stomatološke usluge pregleda, popravaka i vađenja zubi.
Ordinacija se nalazi u Valpovu, u Osječko- baranjskoj županiji.

ORDINACIJA DENTALNE MEDICINE SALAŠKI ĐURDICA, DR. MED. DENT. posluje od 1995. godine u Valpovu, u Osječko- baranjskoj županiji. Ordinacija obavlja kompletne stomatološke usluge pregleda, popravaka i vađenja zubi.
Obavlja i usluge estetske stomatologije, protetike i dječju preventivnu stomatologiju. Nježna, predana i ljubazna zubarica učinit će sve da Vam posjet njenoj ordinaciji bude što je ugodniji moguće.
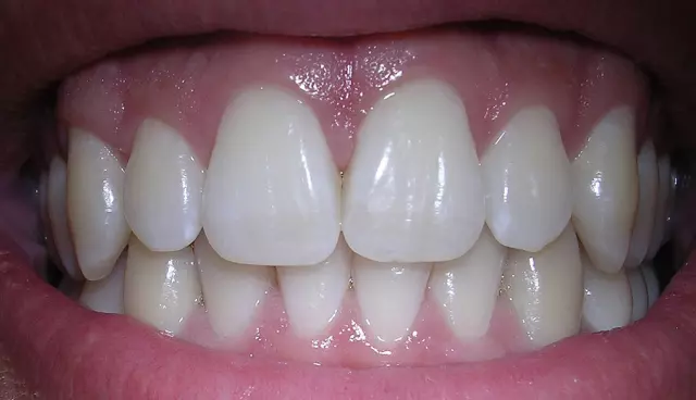
Zdravlje zubi utječe na zdravlje cijelog organizma, a ljepota blistavog osmjeha, u životu otvara mnoga vrata.
Protetika, popravci i vađenje zubi usluge su koje nudi ORDINACIJA DENTALNE MEDICINE SALAŠKI ĐURDICA, DR. MED. DENT.
Za bilo kakve dodatne informacije ili upite slobodno se obratite na navedene kontakte.
Pozdrav! Nalazite li se u Valpovu? I koliko se kod Vas placaju pregledi itd…tocnije radite li privatno ili preko HZZO-a? Lijep pozdrav, Maja
Ukoliko ste zainteresirani za proizvode i usluge tvrtke, ostavite upit i dobit ćete odgovor u najkraćem mogućem roku. Upit će biti javno vidljiv na portalu.
Lijekovi na recept i bez recepta medicinska pomagala Kutjevo
Republike Hrvatske 38, 34340 Kutjevo
Kronične rane Tugare, Splitsko-dalmatinska županija
Vodičko 1, 21252 Tugare
Medicinsko-biokemijski laboratorij Sesvete
Kašinska 27 D, 10360 Sesvete
Ocijeni tvrtku i napiši svoj komentar o suradnji.